主页 > 医院概况 > 医院新闻 >

冬治白癜风 给黑色素细胞“施施肥”

昆明市五华区护国路2号(金马碧鸡坊东面)

预约热线:0871-63101633

许多患者认为在夏季是治疗白癜风的关键时期,而在冬季却忽略了治疗,治疗断断续续而没有达到预期的效果,致使白癜风反复。其实白癜风在冬季更应打好铺垫,防止来年扩散复发。


警惕!冬季放任不管,来年白癜风治疗难上加难

冬天由于衣物较厚,不少白癜风患者因为白斑不外露,干脆停止或放弃治疗,殊不知这样却为第二年春季爆发埋下了隐患。临床数据显示,冬季恢复期放弃治疗的患者第二年有50%以上的几率会引起白斑扩散。昆明白癜风皮肤病医院医生提醒患者,冬季治疗白癜风不可松劲儿,要坚持巩固治疗。

预防白斑反复扩散,冬季治白癜风是关键

俗语说,"春生夏长,秋收冬藏",冬季天气寒冷,万物潜藏,是非常适合养生和治疗的季节。


优势一:冬天的阳光照射没有那么强烈,紫外线对皮肤伤害降低,同形反应概率低。同时白斑相对稳定,治疗更有针对性,有利于治疗的"乘胜追击"。

优势二:衣物遮盖,患者心理负担相对降低,心理舒适度高,心态相对缓和,这对于白斑的恢复有着很大的帮助。

优势三:通过春夏的前期治疗已经有了一定的效果,秋冬天坚持治疗不会让之前的治疗成果功亏一篑,帮助患者平稳度过秋冬。

优势四:通过秋冬天的巩固性治疗,将患者体内酪氨酸酶调整到正常水平,降低白癜风在来年高发季节的发病几率。

冬季治疗:提前给黑色素细胞"施施肥"


中医一直主张"治未病",冬季坚持治疗白癜风,相当于人为降了一场"瑞雪",提前给黑色素细胞"施施肥"。将患者体内的酪氨酸酶活性修复到正常水平,合理补充生成黑色素所需要的原料,来年春季患者体内的酪氨酸酶的活性处在一个正常水平,可以起到一个"治未病"的目的。

科学检测:让冬天“藏起来”的白斑都滚蛋!


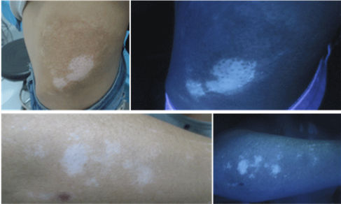
冬季天气转凉,毛孔收缩等原因,使白斑区域与正常皮肤看上去区别不大,身上新出现的白斑不易察觉,等到发现时已经给治疗带来不必要的麻烦,患者应定时去专业医院做德国奥曼Wood灯检测,判断病情是否有新扩散,Wood灯下可检测出肉眼看不到的隐性白斑。

温馨提示:白癜风患者在进入冬季后也应坚持治疗,患者以白斑变浅变淡为由,冬季停止治疗,这其实是一种治疗误区,因为患者体内的酪氨酸酶的活性还是在不断下降的,黑色素也还在日夜不断凋亡。


【特别提示】

临床发现,很多白斑患者之所以出现白斑反复发作,主要原因是由于不能坚持治疗。当白斑治疗出现阶段性成果的时候,患者有时候会有所松懈,导致白斑治疗不及时以及生活饮食不注意,使得白斑病情又加重,无形中又增大了白斑的治疗难度。所以白斑患者在白癜风的治疗期间,一定要坚持做好各项皮肤护理以及生活保健,并积极配合医生治疗白癜风,实现疾病早日彻底康复。

医生提醒白癜风治疗需到正规、专科医院

在线咨询医院热线:0871-63101633

96%的患者还咨询了以下问题

67%电话咨询
与医生直接对话
33%咨询医生
深度了解白癜风

白癜风专家李作梅

云南 昆明 微信号:kmbdfli
本网站以加密,绝对保障个人隐私!

*姓     名:

性      别:

*手     机:

预约日期:

病情描述:

今日可预约医生:3点击立即预约>>

今日剩余专家名额:9